下の義歯が浮くという悩みで来院され、インプラントを4本埋入し、固定性のフルブリッジを装着予定の患者様の経過です。


経過も良好だったため、患者様が普段どこの位置で食事を噛まれているかの噛み合わせを、専用のワックス等で調べていきます。

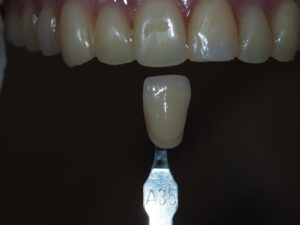
上部歯の色も、患者様のご要望に合わせて決めていきます。

次回、ワックスの上に歯が排列されてきますので、完成した補綴物が、噛み合わせや安定性等できちんと口に合っているのかを仮試適致します。
下の義歯が浮くという悩みで来院され、インプラントを4本埋入し、固定性のフルブリッジを装着予定の患者様の経過です。


経過も良好だったため、患者様が普段どこの位置で食事を噛まれているかの噛み合わせを、専用のワックス等で調べていきます。

上部歯の色も、患者様のご要望に合わせて決めていきます。

次回、ワックスの上に歯が排列されてきますので、完成した補綴物が、噛み合わせや安定性等できちんと口に合っているのかを仮試適致します。
日付: 2021年7月30日 カテゴリ:お知らせ, 医院ブログ, 理事長 藤本文彦