皆様こんにちは。
医療法人建真会 藤本歯科クリニック理事長
藤本文彦です。


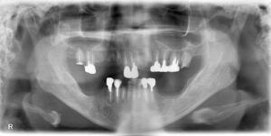
9/3に、全体的に歯を治して欲しいとの事で56歳女性が来院されました。
パントモ、アルバム、CTを撮り、
下顎の前歯部はジルコニアのブリッジ
上下欠損部はノンクラスプのRPIを使った金属床
での計画を立てました。
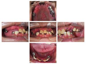
9/10 ノンクラスプデンチャーを作るため、個人トレーの型取り
9/11 下顎のジルコニアブリッジの型取り
9/24 下顎のジルコニアブリッジset
10/1 上の義歯のset
10/22 下の義歯set

今回も大変喜んでいただけました。
歯でお悩みの方どんなことでもご相談ください。
今後とも宜しくお願い致します。
