こんにちは。
医療法人健真会 藤本歯科クリニック 理事長 藤本文彦です。
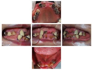
8月21日に全体を治したいとの事で81歳女性が来院されました。
ご本人は歯が折れてどうにもならないと思い、ご相談に来られ、
インプラントも可能だと思いましたが、ご高齢のためインプラントは希望されず、
早く咬合状態を改善するため、ブリッジの方法で
治療を行いました。
8月31日に上下右の1番のコア(土台)をSET、右上2番と6番を抜歯、
右上5番~左上4番の型取りを行いました。
9月13日に正中がズレていたため修正、
下の5番~5番の型取りを行いました。
9月20日に右上5番~左上4番のジルコニア、
下が5番~5番のハイブリッドセラミックをSETしました。

延長ダミーの部分に関しては咬合したとき
負荷がかからない様にしております。
ご本人もとても満足していただきました。
