90歳男性の入れ歯治療症例
本日は90歳男性の治療症例を
紹介いたします。
紹介いたします。
治療前
治療後
治療前
治療中
2024/12/18 大きな力が加わり、上顎の右上4.5.7番の歯が
保存不可能により抜歯。
咀嚼がしたいという事で歳も90を超えておられ、また、これ以上の抜歯もしたくないという事で、
超極薄の金属床をご提案し、
12/24に極薄の金属床の型どり。
1/8ろうていによるバイト(高さの測定)。
保存不可能により抜歯。
咀嚼がしたいという事で歳も90を超えておられ、また、これ以上の抜歯もしたくないという事で、
超極薄の金属床をご提案し、
12/24に極薄の金属床の型どり。
1/8ろうていによるバイト(高さの測定)。
治療後
1/16歯並びの確認。
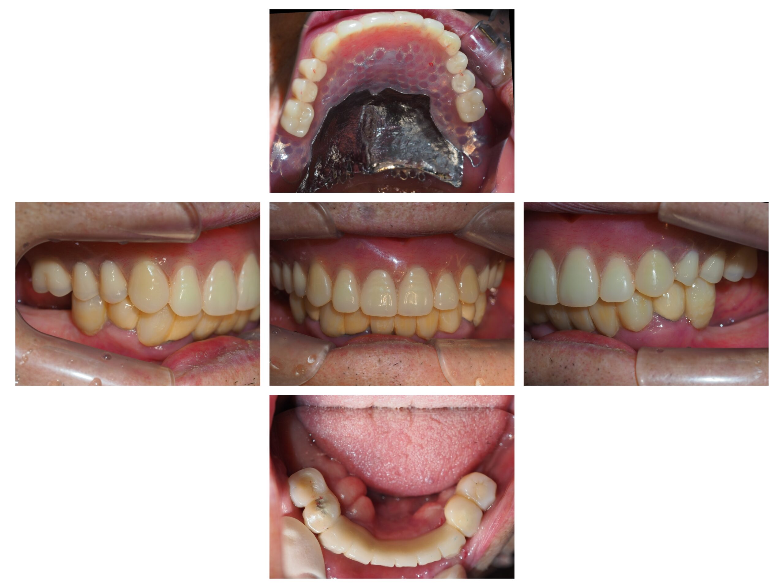
下顎のブリッジが1番後ろが5番までなので、画像の通り上顎の金属床は6番止まりで吸着、適合全く問題なく装着出来ました。
2/4に91歳を迎えられる男性の患者さんですが上顎前歯の歯根を保存しといたために顎がしっかり残っているので口腔前庭に維持を求めガッチリした極薄の総義歯を装着出来ました。
下顎のブリッジが1番後ろが5番までなので、画像の通り上顎の金属床は6番止まりで吸着、適合全く問題なく装着出来ました。
2/4に91歳を迎えられる男性の患者さんですが上顎前歯の歯根を保存しといたために顎がしっかり残っているので口腔前庭に維持を求めガッチリした極薄の総義歯を装着出来ました。
| 担当医 | 藤本文彦 |
|---|---|
| 主訴 | 歯を入れてほしい |
| 期間 | 準備中 |
| 費用 | 準備中 |
| 治療内容 | 準備中 |
| 治療に伴うリスク | 準備中 |















上下ブリッジセットしました。