
令和7年3月4日
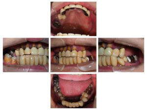
前歯が6本ぐらぐらして、総入れ歯になるのが嫌なのでなんとかしてほしいということで来院されました。
パントモ、CT、スキャンを行い、仮歯の印象をしました。(増歯)

3月11日
5本抜歯。スポンゼルで止血。仮歯の型取りをしました。
3月13日
増歯義歯仮歯のセット。インプラントのシミュレーションも行い、これでインプラントの準備をしていきます。

3月28日
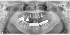
上顎インプラント前歯3本、臼歯に1本埋入
(京セラ、レリオス、ボーンレベル32の10を三本、37の6を一本埋入)
初期固定全て良し、音良し。
CT、パントモすべて良好。
仮歯の調整をしながら、養生期間に入ります。

9月5日
4本のインプラントのデンタル撮影。全て問題なし。ろー堤の印象。
9月12日
ろー提での顎の高さの確認。BTは初診時のスキャンデータでご本人の最初の顎位も確認。その後、アバットメント装着、テック装着。
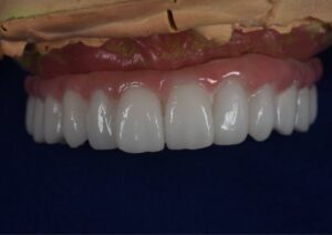
仮歯ですが、かなり満足をされておりました。本物はまた後日載せます。


アバットメント

仮歯
最終仕上げはこのように想定しております。(シェードA2)
歯牙が長いので歯肉色で調整しようと思います。

